Kaulų lūžių reabilitacija ir pratimai: viskas, ką reikia žinoti

Mūsų kaulai turi savybę atsinaujinti - nuolat vyksta seno kaulo rezorbcija, t. y. irimas, ir naujo kaulo formavimasis. Todėl sveikas kaulas lūžta labai retai. Kaulų tvirtumui įtakos turi amžius. Jauname amžiuje naujo kaulo formavimasis spartumu gerokai lenkia senų kaulų irimą, todėl jaunystėje kaulai daugiau auga, tvirtėja, nes ląstelių, kurios formuoja naują kaulą, yra gerokai daugiau negu tų, kurios kaulą ardo. Kai pastarųjų ląstelių aktyvumas pralenkia kaulą formuojančių ląstelių aktyvumą, kaulai tampa silpnesni, trapūs ir išauga rizika lūžti.

Lūžusio kaulo gijimo laiką įvardyti sunku, nes jis priklauso nuo tokių aspektų kaip paciento amžius bei lūžio vieta, taip pat kiek pažeisti aplinkiniai audiniai. Vaikų lūžiai sugyja greičiausiai - dažniausiai tam prireikia nuo 4 iki 6 savaičių. Paauglių kaulų lūžiai irgi sugyja palyginti greitai - per 6-8 savaites.

Kaulų lūžiai

Svarbūs aspektai gydantis po kaulo lūžio

Pateikiame kelis aspektus, kurie reikšmingi gydantis po kaulo lūžio, o taip pat ir norint sustiprinti sveikus kaulus:

  • Svarbu saugoti lūžio vietą. Jei lūžusi koja, neminkite visu svoriu tos kojos, naudokite ramentus ar specialią lazdą.
  • Kalcis ir vitaminas D. Kalcis, ypač drauge su vitaminu D, yra tikras stebukladarys stiprinant kaulus. Kalcis be galo svarbus kaulams ir ne tik jiems - ne mažesnė jo reikšmė ir dantims, širdžiai, kraujo spaudimui. Kalcį organizmui įsisavinti padeda vitaminas D, todėl kalcio ir šio vitamino tandemas - idealus, norintiems turėti sveikus ir tvirtus kaulus.
  • Fizinis aktyvumas. Fizinis aktyvumas, pavyzdžiui, reguliariai atliekama mankšta, naudinga ne tik sveikiems kaulams, bet ir tvirtiems raumenims. Juk būtent raumenys yra apsauginis sluoksnis, saugantis kaulus nuo smūgių. Negana to, fizinis aktyvumas teigiamai veikia pusiausvyrą, tad sumažėja rizika pargriūti ir taip patirti kaulų lūžių. Stipriems kaulams svarbi reguliari fizinė veikla, trunkanti ne trumpiau kaip pusvalandį. Mankštintis reikėtų bent tris kartus per savaitę.
  • Ortopedinis įtvaras. Gydantis po kaulo lūžio labai svarbu nešioti kokybišką ORTOPEDINĮ ĮTVARĄ. Koks įtvaras reikalingas, priklauso nuo to, kurioje vietoje lūžo kaulas. Pavyzdžiui, lūžus alkūnei bus reikalingas ALKŪNĖS ĮTVARAS, patyrus vidinio arba išorinio kulkšnelio lūžį bus reikalingas ČIURNOS ĮTVARAS gyjant lūžusiam žastikauliui reikės nešioti RANKOS LAIKIKLĮ, raktikaulio įtvaras bus reikalingas, jei lūžo raktikaulis ir t.t.
  • Specialūs pratimai. Gydantis lūžusį kaulą labai svarbu atlikinėti specialius pratimus, kuriuos rekomenduos gydytojas, atsižvelgdamas į traumos pobūdį, gijimo ypatumus.
  • Mityba. Mityba - ji didesnį ar mažesnį vaidmenį vaidina sergant bet kokia liga ar patyrus traumą. Kaulo lūžis - ne išimtis. Svarbu subalansuoti mitybą taip, kad pakankamai su maistu gautumėte vitaminų, mineralų, baltymų beiskaidulų. Ypač svarbus, kaip jau minėta, kalcis ir vitaminas D, tad rekomenduojama vartoti daugiau sūrio, jogurto, lieso pieno, brokolių, špinatų, migdolų ir kt. Taip pat nepakenktų ir kitų vitaminų papildų naudojimas, dėl tikslių rekomendacijų kokius vitaminus vartoti būtų naudinga būtent jūsų organizmui - pasitarkite su daktaru ar mitybos specialistu.

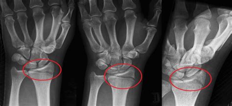
Kas yra Smith lūžis?

Smith lūžis - tai dilbio stipinkaulio (lot. radius) lūžis, įvykstantis netoli riešo sąnario, kai kaulo distalinė dalis (arčiausiai riešo) lūžta ir pasislenka į delno pusę (voliarinę pusę). Šis lūžis skiriasi nuo dažnesnio Colles lūžio, kai kaulas pasislenka į nugarinę pusę. Smith lūžis dažnai vadinamas „atvirkštiniu Colles lūžiu“ ir sudaro apie 5-10 % visų distalinių stipinkaulio lūžių.

Pasaulyje distalinių stipinkaulio lūžių, įskaitant Smith lūžį, kasmet diagnozuojama šimtai tūkstančių, o Lietuvoje jie dažni, ypač žiemą dėl slidžių paviršių. Negydomas ar netinkamai gydomas Smith lūžis gali sukelti komplikacijų, tokių kaip riešo sąnario nestabilumas ar lėtinis skausmas. Smith lūžis dažniausiai įvyksta dėl tiesioginės traumos, kai riešas yra sulenktas.

Taip pat skaitykite: Išmokos už nedarbingumą po rankos lūžio

Smith lūžio simptomai

Smith lūžio simptomai yra ryškūs ir dažniausiai akivaizdūs iškart po traumos. Tikslus diagnozės nustatymas padeda pasirinkti efektyviausią gydymą.

Smith lūžio gydymas

Smith lūžis gydomas priklausomai nuo lūžio tipo, pasislinkimo laipsnio, paciento amžiaus ir bendros sveikatos būklės. Gydymo metu stebima dėl infekcijų, nervų pažeidimų ar netinkamo kaulų gijimo. Reguliarūs patikrinimai: Kaulų tankio tyrimai (densitometrija) vyresniems nei 60 m.

Smith lūžis gali stipriai paveikti kasdienę veiklą, ypač dėl rankos naudojimo ribojimo. Pacientai dažnai negali rašyti, laikyti daiktų ar atlikti paprastų užduočių, tokių kaip valgymas ar apsirengimas. Ilgalaikė imobilizacija gali sukelti raumenų silpnumą, stingulį ar psichologinį stresą, ypač jei trauma trukdo darbui ar pomėgiams. Pagyvenusiems žmonėms lūžis gali padidinti priklausomybę nuo kitų, o sportininkams - laikinai sustabdyti fizinę veiklą.

Norint suvaldyti poveikį, būtina ankstyva intervencija, reabilitacija ir artimųjų parama. Kineziterapija ir ergoterapija padeda atkurti rankos funkciją, o prevencinės priemonės, tokios kaip kaulų stiprinimas ir kritimų vengimas, sumažina pasikartojimo riziką.

Smith lūžis yra rimta trauma, paveikianti stipinkaulį netoli riešo, dažnai sukelta kritimo ar smūgio. Ankstyvas simptomų atpažinimas, tokių kaip stiprus skausmas, deformacija ar judesių ribojimas, leidžia greitai kreiptis pagalbos ir išvengti komplikacijų, tokių kaip nesugijimas ar riešo nestabilumas. Konservatyvus gydymas tinka lengviems lūžiams, o chirurgija dažnai reikalinga paslinkusiems ar nestabiliems atvejams. Reabilitacija yra esminė, atkuriant rankos funkciją.

Taip pat skaitykite: Svarbūs patarimai reabilituojantis po alkūnės lūžio

Prevencija, įskaitant kaulų stiprinimą, kritimų vengimą ir sveiką gyvenimo būdą, padeda sumažinti lūžių riziką. Jei įtariate Smith lūžį dėl stipraus skausmo, riešo deformacijos ar negalėjimo judinti rankos po traumos, nedelsdami kreipkitės į skubios pagalbos skyrių arba ortopedą-traumatologą, kad būtų atlikti reikiami tyrimai, tokie kaip rentgenograma, ir pradėtas gydymas.

Ypatingai skubiai kreipkitės, jei pastebite tirpimą, dilgčiojimą, karščiavimą ar atvirą žaizdą, galinčius rodyti nervų pažeidimą ar infekciją. Venkite savarankiškų bandymų judinti ranką ar gydytis, nes tai gali sukelti kaulų poslinkį ar komplikacijas. Jei esate rizikos grupėje (pvz., turite osteoporozę ar užsiimate rizikinga veikla), aptarkite su gydytoju prevencines priemones, tokias kaip kaulų tankio tyrimai, kalcio papildai ar riešo apsaugos.

Stipinkaulio galvutės lūžis

Patyrus griūtį ar pargriuvimą ant ištiestos rankos, galima patirti vadinamąją stipinkaulio galvutės lūžį. Ši trauma gali apriboti kasdienę veiklą, sumažinti darbingumą ar užkirsti kelią sportui, nes dėl jos sunku naudotis ranka įprastai.

Kas yra stipinkaulio galvutės lūžis

Stipinkaulis yra viena iš trijų alkūnės sąnarį sudarančių kaulų: viršutiniąją rankos dalį sudaro žastikaulis, o dilbį - stipinkaulis ir alkūnkaulis. Stipinkaulio galvutė - tai šio kaulo viršutinė dalis šalia alkūnės. Ji turi cilindro formą ir leidžia dilbiui lengvai suktis atliekant įvairius judesius. Stipinkaulio galvutę stabilizuoja aplink esantis žiedinis raištis.

Kaip nustatomas lūžis

Nukritus ir pajutus skausmą ar patinimą alkūnės srityje, svarbu kuo greičiau kreiptis pas gydytoją. Atliekami rentgeno tyrimai padeda nustatyti, ar įvyko kaulo lūžis ar kita trauma. Nustačius stipinkaulio galvutės lūžį, gydytojas pasirūpina tinkamu kaulo sugijimu - kartais prireikia gipso ar įtvaro, o ranka kelioms savaitėms imobilizuojama.

Taip pat skaitykite: Ergoterapijos svarba po stipinkaulio lūžio

Reabilitacijos pagrindai

Atsigavimo laikotarpiu itin svarbi reabilitacija. Fizioterapija padeda sugrąžinti pilną judesių amplitudę ir stiprinti rankos raumenis, taip pat mažina skausmą bei patinimą. Gydytojas sudaro individualų pratimų planą pagal Jūsų būklę tam, kad kuo greičiau sugrįžtumėte į įprastą gyvenimą.

Pratimai namuose:

  • Alkūnės judesių gerinimas: Specialūs pratimai, lavinantys pilną alkūnės judesių diapazoną, būtini, kad atkurtumėte judrumą.
  • Riešo stiprinimas: Kadangi po traumos riešas susilpnėja, rekomenduojama atlikti pratimus su svarmenimis, stiprinančius riešo raumenis.
  • Spaudimo gerinimas: Pratimai su rankšluosčiu ar specialia tampria mase lavina rankos ir pirštų jėgą.
  • Peties mobilumo pratimai: Imobilizacija gali padaryti pečių sąnarį nejudrų, todėl atliekami pasyvūs ir aktyvūs peties judesių pratimai.

Fizioterapeutas gali naudoti šilumos, šalčio ar elektrostimuliacijos procedūras, padedančias valdyti skausmą ar patinimą, kai kaulas sugyja.

Kiek laiko trunka gydymo procesas

Reabilitacija po stipinkaulio galvutės lūžio paprastai tęsiasi iki trijų mėnesių. Dažniausiai pilnas rankos judrumas sugrįžta per 8 savaites, tačiau kartais nedideli judesių apribojimai gali išlikti ir po pilnos reabilitacijos. Nors šis laikotarpis gali atrodyti ilgas, dauguma pasiekia reikšmingų laimėjimų judėjimo ir jėgos atžvilgiu.

Jūsų vaidmuo sveikimo procese

Didžiausią įtaką reabilitacijos sėkmei darote Jūs pats. Aktyviai dalyvaukite terapijoje, nebijokite klausti ir domėtis, ar pratimus atliekate tinkamai bei ką dar galima pagerinti. Toks bendradarbiavimas su specialistu padeda pasiekti kur kas geresnių rezultatų.

Stipinkaulio galvutės lūžis dažniausiai sukelia daug diskomforto ir apriboja rankos judesius. Reabilitacija po lūžių

Reabilitacija po lūžių pagal Dikulio metodą

Dikul metodas - tai unikali Valentino Ivanovičiaus Dikulio sukurta atstatomųjų pratimų sistema, skirta reabilitacijai po sunkių kaulų ir raumenų sistemos traumų. Šis metodas sujungia fizinės terapijos, kineziterapijos, mechanoterapijos ir psichologinės pagalbos elementus, todėl yra veiksmingas įvairių tipų lūžių atveju, ypač tų, kurie komplikuojasi nervų sistemos pažeidimu ar ilgalaike imobilizacija (nejudrumu).

Kokias traumas, susijusias su kaulų lūžiais, galima reabilituoti taikant Dikulio metodą?

  1. Stuburo slankstelių lūžiai. Dikul metodas iš pradžių buvo sukurtas reabilitacijai po stuburo traumų, todėl yra ypač veiksmingas:
    • Slankstelių kompresiniams lūžiams (įskaitant osteoporozę)
    • Lūžiams su stuburo smegenų pažeidimu (dalinis arba visiškas funkcijos atkūrimas)
    • Būklės po stuburo operacijų (stabilizavimas metalinėmis konstrukcijomis, laminektomija).
  2. Stambiųjų vamzdinių kaulų lūžiai.
    • Šlaunikaulio lūžiai (įskaitant šlaunikaulio kaklelio lūžius)
    • Blauzdikaulio ir šeivikaulio lūžiai
    • Žastikaulio lūžiai (įskaitant chirurginį kaklelį)
  3. Daugybiniai ir sudėtiniai lūžiai.
    • Politrauma (pvz., po eismo įvykio ar kritimo iš aukščio)
    • Dubens kaulų lūžiai (įskaitant kryžkaulio ir raktikaulio pažeidimus).
  4. Lūžiai su uždelsta konsolidacija arba netikrais sąnariais. Dikul metodas padeda stimuliuoti kaulų regeneraciją dėl dozuoto krūvio ir geresnės kraujotakos.

Dikulio metodą sukūrė Valentinas Ivanovičius Dikulis, vyras, patyręs sunkią stuburo traumą. Dikulio metodas sulaukė oficialaus pripažinimo pasaulio medicinoje ir yra taikomas reabilitacijos centruose po stuburo, dubens, klubo sąnario ir kitų sudėtingų traumų.

Dikulio metodas

Fiziologiniai ir biomechaniniai procesai gydant stuburo lūžius Dikulio metodu

  1. Paravertebraliniai raumenys. Paravertebraliniai raumenys yra giliųjų raumenų grupė, išsidėsčiusi išilgai stuburo.
  2. Lūžiai su nugaros smegenų pažeidimu (dalinis arba visiškas funkcijos atkūrimas). Esant nugaros smegenų pažeidimams, pagrindinė problema yra ne tik mechaniniai pažeidimai, bet ir sutrikęs neuroplastiškumas - nervų sistemos gebėjimas persitvarkyti.

Dikulio metodas taiko kinezioterapijos ir propriocepcinės stimuliacijos principą, siekdamas priversti nervų takus „persikvalifikuoti“ atliekant pasikartojančius judesius. Net jei nugaros smegenys iš dalies pažeistos, išlikę neuronai gali perimti prarastas funkcijas, tačiau tam reikia nuolatinės apkrovos.

Pratimai atliekami griežta seka - nuo pasyvių (padedant instruktoriui arba treniruokliams) iki aktyvių pratimų su pasipriešinimu.

Propriocepcinė stimuliacija - tai „kūno pojūčių lavinimas“. Po traumų ar operacijų šis „šeštasis pojūtis“ dažnai būna susilpnėjęs. Propriocepcinė stimuliacija padeda jį atkurti.

  1. Būklės po stuburo operacijų (metalinė stabilizacija, laminektomija). Po stuburo operacijų (pvz., transpedikulinės fiksacijos arba laminektomijos) atsiranda giliųjų raumenų disbalansas - kūnas dėl skausmo juos „išjungia“, pasikliaudamas implantais.

Dikul metodas užkerta tam kelią, atkurdamas stabilizuojančių raumenų ir globalių motorinių grandinių koordinaciją. Atliekant specialius pratimus, kuriuose akcentuojami lėti, kontroliuojami judesiai, pacientas iš naujo išmoksta, kaip apkrauti stuburą nerizikuojant pažeisti struktūros.

Kodėl Dikulio metodas dažnai yra vienintelė alternatyva?

  • Dėl kompresinių lūžių - kiti metodai nesuteikia pakankamo krūvio osteogenezei stimuliuoti, ypač sergant osteoporoze.
  • Esant nugaros smegenų traumai - klasikinė LFC neužtikrina reikiamo intensyvumo nervinių jungčių reorganizacijai.
  • Po operacijų - neatsigavus giliesiems raumenims, krūvį prisiima fiksatoriai, todėl jie atsilaisvina ir operacijos kartojasi.

Osteogenezė yra naujo kaulinio audinio formavimosi procesas. Kai lūžta kaulas, organizmas pradeda „remonto darbus“ - pažeidimo vietoje pradeda kurti naują kaulinį audinį. Jei osteogenezė vyksta blogai, kaulas jungiasi lėtai arba neteisingai (netikras sąnarys).

Dikul metodas pagreitina osteogenezę: dozuota apkrova (kaulams reikia apkrovos, kad sustiprėtų) ir geresnė kraujotaka (kraujas tiekia „statybines medžiagas“ kaulams).

Stipinkaulio lūžis: nuo traumos iki funkcijos atstatymo

Stipinkaulio lūžis - tai viena iš dažniausiai pasitaikančių viršutinės galūnės traumų, ypač tarp pagyvenusių žmonių ir aktyviai sportuojančių suaugusiųjų. Dažniausiai pasitaiko stipinkaulio apatinės dalies lūžis (distal radius fracture/ in loco typico), kuris susijęs su kritimu ant ištiestos rankos.

Stipinkaulio lūžis

Dažniausi tipai:

  • Colles lūžis - (nugarinė) deformacija.
  • Smith lūžis - (delno) deformacija.
  • Stipinkaulio galvos lūžis - būdingas smūgiams ar tiesioginei traumai ties alkūnės sritimi.

Kaip vertinti lūžio sunkumą?

Lūžio parametras Klinikinė reikšmė
Fragmentų skaičius Daugiau fragmentų = sudėtingesnis gydymas
Dislokacija Daugiau dislokuotas = didesnė chirurginė rizika
MTC (metakarpofalanginiai) Ribojimai = paveikiama funkcija
Paciento amžius Vyresni = ilgesnė reabilitacija
Dominuojanti ranka Gydymas agresyvesnis, funkcijos grąžinimas svarbesnis

Kiek laiko gyja stipinkaulis?

  • Vaikai: ~4-6 savaitės.
  • Suaugusieji: ~6-12 savaičių.
  • Pagyvenusieji: gali trukti iki 4 mėnesių.

Fiziologiniai ir biomechaniniai padariniai

Trauma veikia ne tik kaulą, bet ir aplinkinius audinius:

  1. Raumenys: M. pronator teres, m. supinator - dalyvauja pronacijoje/supinacijoje. M. flexor digitorum profundus/superficialis - įsitempia delninės dalies lūžio atveju.
  2. Nervai: N. medianus - gali būti spaudžiama edema (pavojus riešo tunelio sindromui).
  3. Fascijos: Giliosios fascijos (pvz., fascia antebrachii) - tempiasi, įsitempia, riboja slydimą, trukdo limfotakai.
  4. Kraujotaka: Veninė stazė = paburkimas (tinsta pirštai).

Reabilitacijos eigos etapai

  1. Imobilizacijos fazė (1-4 savaitės). Šalinti tinimą, palaikyti kraujotaką. Lengvi pratimai: pirštų judesiai, dilbio pakėlimas virš galvos.
  2. Ankstyva mobilizacija (4-8 savaitės). Pradedami aktyvūs judesiai. Dėmesys: pronacija/supinacija, alkūnės judesiai.
  3. Stabilizacija ir stiprinimas (8-12 sav.). Dinaminiai pratimai su pasipriešinimu (elastinga juosta). Rankos griebimo treniruotė, pusiausvyros pratimai.
  4. Funkcinis etapas (>12 sav.). Visiškas funkcijos grąžinimas: įprastas darbas, sportas.

Neatstatant sąnario slydimo, neįvyks kokybiški judesiai.

Reabilitacijos metodai

Metodas Poveikis
Elektroterapija (TENS) Skausmo mažinimas, raumenų aktyvinimas
Limfodrenažinis masažas Tinimo mažinimas, kraujotaka
Ultragarso terapija Minkštųjų audinių gijimo spartinimas
Baseinas Mažina sąnarių apkrovą, gerina judesių spektrą
Pratimai, mobilizacijos technikos Fascijų slydimo atstatymas, skausmo mažinimas, jėgos didinimas

Specifinės priemonės ir testai

  • Ortopedinės priemonės: Riešo įtvarai, dilbio įtvarai aktyviam darbui, ergonominiai kamuoliukai.
  • Testai namuose: Rankos kėlimas virš galvos su svoriu - peties vertinimas. Objekto suėmimo testas: butelio, arbatos puodelio laikymas 30 sek. rankenos sukimas.

Komplikacijos ir prevencija

Dažniausios komplikacijos:

  • Riešo tunelio sindromas
  • Potrauminis artritas
  • CRPS (kompleksinis regioninis skausmo sindromas)
  • Lėtinis tinimas, randiniai sukibimai

Prevencija: Ankstyvas judesys, tempimo ir jėgos pratimai, kraujo cirkuliacijos palaikymas, mityba, papildai: kalcis, vit. D3, kolagenas.

Fizinė terapija po kaulų lūžio

Kaulų lūžiai yra labai dažna problema, su kuria susiduria daugybė žmonių ir taip pat viena iš tų problemų, dėl kurių gali iš karto reikšmingai sutrikti žmogaus kasdienis gyvenimas. Paprastai kaulų lūžių problemoms spręsti pasitelkiami įtvarai arba gipsas, tačiau sunkiais atvejais gali prireikti ir operacijos. Nepaisant to, su kokiais kaulų lūžiais susiduriama, tokias traumas patyrusiems pacientams dažnai rekomenduojama fizinė terapija.

Kas sukelia kaulų lūžius?

Kaulų lūžius paprastai sukelia traumos, pavyzdžiui, automobilio avarija arba kritimas. Tokių nelaimingų atsitikimų metu dėl traumų kaulai patiria labai didelį spaudimą ir dėl to lūžta. Tačiau tai nėra vienintelės kaulų lūžių priežastys. Kitos lūžių priežastys gali būti išnirimai, nusidėvėjimas, sporto traumos, raiščių ar raumenų įtempimas, suspaudimo nulemtos traumos ir kt.

Priklausomai nuo lūžio vietos, dėl kaulo lūžio atsiradę simptomai gali būti nuo lengvų iki sunkių. Tarp dažniausiai atsirandančių simptomų gali būti staiga atsiradęs skausmas, tinimas, jautrumas, mėlynės, deformacijos, sumažėjusi judesių amplitudė ir kt.

Jei įtariate, kad jums lūžo kaulas, vienintelis ir tiksliausias diagnozės nustatymo būdas - pasidaryti rentgeno nuotrauką. Remdamiesi tokia nuotrauka gydytojai gali tiksliai nustatyti, ar kaulas yra lūžęs ar skilęs, ir koks yra tokio pažeidimo pobūdis.

Kas yra fizioterapija?

Fizioterapija - tai konservatyvus gydymo būdas, taikomas ne tik lūžių, bet ir kitų ortopedinių traumų atveju, o taip pat pooperacinei reabilitacijai. Fizioterapijos tikslas - padėti sumažinti jaučiamus skausmus ir kartu pagerinti pažeistų vietų judrumą bei lankstumą. Tačiau fizioterapija skirta ne tik traumoms gydyti. Ji taip pat gali būti naudojama kaip prevencinė priemonė, padedanti išvengti traumų ir apskritai gyventi geresnį, kokybiškesnį ir sveikesnį gyvenimą.

Fizioterapijos specialistai padeda atkurti ne tik judrumą. Jie taip pat gali padėti išvengti būtinybės atlikti operaciją, lengviau kontroliuoti artrito sukeliamus simptomus, sumažinti skausmą, išmokyti pasitelkti pagalbines priemones, parinkti tinkamą įtvarą ir kt. Pagrindinis šio gydymo tikslas - sugrąžinti pacientams įprastą judrumą, jėgą ir lankstumą.

Kaip fizinė terapija gali padėti po kaulų lūžio?

Lūžusį kaulą reikia imobilizuoti, kad jis tinkamai sugytų. Dėl imobilizacijos lūžio vieta gali prarasti judrumą, todėl bus sunku grįžti prie savo kasdienės veiklos. Kineziterapeuto darbas - nustatyti problemą sukeliančius veiksnius ir rasti būdą, kaip pagerinti būklę, taikant įvairius tikslinius metodus, pvz., ledo arba šilumos terapiją, minkštųjų audinių masažą, tempimo pratimus, manualinę sąnarių terapiją.

Šios srities specialistai taip pat gali padėti pašalinti randus, susijusius su chirurginiu lūžio fiksavimu, ir tokiu būdu numalšinti skausmą bei sumažinti patinimą. Kai lūžis pradeda gyti, kineziterapeutas kartu su pacientu palaipsniui stiprina pažeistą vietą. Tokie metodai visų pirma padeda atkurti paciento judrumą bei išvengti galimų traumų ateityje.

Kitas kineziterapeuto vaidmuo po lūžio - išmokyti pacientą naudotis pagalbiniais prietaisais, kaip antai įtvaro pritaikymas, jei pacientas patyrė rankos lūžį, ar kt. Fizioterapija po kaulų lūžio yra būtina, nes padeda žmogui greičiau atsigauti. Tačiau labai svarbu ir tai, kad fizioterapija gali padėti susitvarkyti su bet kokiais nervų ar sąnarių pažeidimais, kuriuos sukėlė lūžęs kaulas.

tags: #rankos #luzis #reabilitacija