Alkūnės lūžio reabilitacija: Gydymo būdai ir svarbūs patarimai

Kaulų lūžiai yra dažna trauma, kuri gali pasireikšti įvairiomis formomis. Lūžiai gali atsirasti dėl įvairių priežasčių, tokių kaip avarijos, sporto traumos ar tam tikros medicininės būklės. Kaulų lūžis - tai kaulo vientisumo pažeidimas, atsirandantis dėl jėgos veikimo.

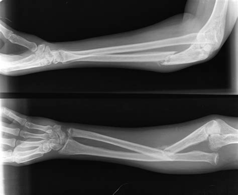
Alkūnės lūžis

Kaulų lūžių tipai

  1. Paprasti (uždari) lūžiai: Šie lūžiai atsiranda, kai kaulas pertrūksta, tačiau oda lieka nepažeista.
  2. Atviri (komplikacijos sužalojimai) lūžiai: Atviro lūžio atveju kaulas prasiskverbia per odą, todėl šis lūžis kelia didesnę komplikacijų, ypač infekcijos riziką.
  3. Skeveldriniai lūžiai: Kai kaulas suskaidomas į daugelį mažų gabalų, susidaro skeveldrinis lūžis.

Gydymo metodai

  1. Konservatyvus gydymas: Tai apima lūžusios vietos imobilizaciją gipsu, įtvaru, kurie imobilizuoja kaulą, kad jis galėtų sugyti.

Priklausomai nuo lūžio tipo ir sudėtingumo, gydymas gali būti tiek konservatyvus, tiek chirurginis, o reabilitacija yra svarbi funkcijos atkūrimo dalis.

Alkūnkaulio osteotomija

Kas yra alkūnkaulio osteotomija? Alkūnkaulio osteotomija - tai planinė operacija, kurios metu chirurgiškai perkerpamas ir perstatomas alkūnkaulis (ulna), siekiant atkurti taisyklingą rankos biomechaniką, sumažinti skausmą ar išspręsti sąnario spaudimą. Paprastai taikoma dėl alkūnės skausmų, nestabilumo ar po traumų.

  • Osteotomija - saugi ir efektyvi procedūra, padedanti sumažinti skausmą ir pagerinti rankos funkciją.
  • Reabilitacija - labai svarbi gydymo dalis, todėl būtina laikytis gydytojo ir kineziterapeuto nurodymų.
  • Plokštelė dažnai paliekama visam laikui, tačiau kartais gali būti šalinama po kelių mėnesių.
  • Gydymo planas visada pritaikomas individualiai.

Kada reikia kreiptis pas gydytoją?

  • Alkūnės skausmas, ypač atliekant pasukimo ar lenkimo judesius
  • Judesių ribotumas
  • Lūžiai, kurie suaugo netinkamai
  • Sąnario strigimas, spaudimo pojūtis
  • Ilgalaikis diskomfortas, kuris nesumažėja gydant konservatyviai

Kodėl gali prireikti operacijos?

Operacija reikalinga, kai deformuotas arba netaisyklingai suaugęs alkūnkaulis trikdo alkūnės funkciją, sukelia skausmą, spaudžia sąnarį ar nervus (pvz., alkūninį nervą), arba kai būtina pakeisti rankos biomechaniką (pvz., po traumos ar dėl įgimtų deformacijų).

Kaip atliekama operacija?

  • Atliekama bendrinėje ar regioninėje nejautroje.
  • Per nedidelį pjūvį pasiekiamas alkūnkaulis.
  • Kaulas perpjaunamas (osteotomija) ir perstatomas į reikiamą padėtį.
  • Fiksuojamas specialia plokštele ir varžtais.
  • Operacijos trukmė - apie 60-90 min.
  • Tą pačią dieną arba kitą rytą pacientas išleidžiamas namo.

Kada dažniausiai taikoma ši procedūra?

  • Netaisyklingai suaugęs alkūnkaulis po lūžio | Gali sukelti sąnario spaudimą ar nervo dirginimą
  • Alkūnkaulio viršūnės impingement’as | Per ilgas alkūnkaulis spaudžia žastikaulio galą
  • Alkūninio nervo suspaudimas | Nerve dirginimas dėl deformuoto kaulo ar sąnario pakitimų
  • Instabilumas ar „locking“ alkūnėje | Trukdo judesiams, sukelia skausmą
  • Planuojamos procedūros | Osteotomija reikalinga kaip paruošiamoji priemonė

Pooperacinis laikotarpis

Žaizdos priežiūra

  • Tvarstis laikomas sausas, keičiamas kas 1-2 dienas
  • Siūlai pašalinami po 10-14 dienų (jei netirpstantys)

Imobilizacija

  • Ranka gali būti laikoma įtvare 1-3 savaites
  • Gydytojas nurodo tikslų laiką, priklausomai nuo operacijos pobūdžio

Mankšta

  • Pradedama palaipsniui, kai leidžia chirurgas
  • Iš pradžių pasyvūs, vėliau aktyvūs ir stiprinantys pratimai

Reabilitacija

  • Trunka apie 6-12 savaičių
  • Atliekama padedant kineziterapeutui

Sugrįžimas į darbą

  • Lengvas darbas: po 2-4 savaičių
  • Fizinis darbas: po 8-12 savaičių ar ilgiau

Galimos komplikacijos

  • Skausmas ar patinimas - dažniausiai laikinas, mažinamas vaistais
  • Žaizdos infekcija - reta, bet gali prireikti antibiotikų ar papildomo gydymo
  • Kraujavimas ar hematoma - retais atvejais susidaro kraujo sankaupos
  • Kaulo suaugimo sutrikimai - lėtas gijimas arba netaisyklingas suaugimas
  • Metalinės plokštelės dirginimas - kai kuriais atvejais vėliau gali tekti ją šalinti
  • Alkūninio nervo dirginimas ar nutirpimas - gali būti laikinas ar reikalauti papildomo gydymo
  • Ribotas judrumas - ypač jei nepakankama reabilitacija
  • Kraujotakos sutrikimai ar kraujo krešuliai - labai reti, bet būtina stebėti rankos būklę

Pratimai ALKŪNEI

Reabilitacijos svarba

Reabilitacija - tai įvairių gydymo metodikų ir priemonių visuma, skatinanti sveikimo procesą. Po operacijų, traumų ir lūžių skiriama reabilitacija būtent tam, jog kineziterapeutas užtikrintų jūsų kūno tinkamą gijimo procesą, tai yra, kad liktų kuo mažesni randai, kad sąnariai judėtų kuo laisviau ir kad sustiprėtų jūsų raumenys. Taip pat dirbant su kineziterapeutu trumpėja sveikimo procesas.

Taip pat skaitykite: Reabilitacijos rekomendacijos

Reabilitacija po alkūnės lūžio

Reabilitacijos tikslai:

  • Greitesnis atsigavimas
  • Tolesnių sužalojimų prevencija
  • Skausmo valdymas
  • Mobilumo gerinimas

3R strategija reabilitacijoje

3R strategija - tai struktūruotas ir nuoseklus požiūris į judėjimo disfunkcijų korekciją, plačiai taikomas kineziterapijoje ir funkcinėje reabilitacijoje.

  1. Reset: Perkrauti
  2. Reinforce: Pastiprinti
  3. Reload: Perprogramuoti

RETRAIN - Judesio atstatymas / Mokymasis judėti iš naujo - skirtas įtvirtinti ir perkelti taisyklingą judesio modelį į realias, kasdienes ar sportines situacijas. Funkciniai, viso kūno judesiai - pritūpimai, įtūpstai, ėjimas, laipiojimas, kėlimas, stūmimas ir t.

Kineziterapijos metodai

  • Kineziterapija: Tai viena iš pagrindinių reabilitacijos priemonių ir efektyvus būdas norint greičiau atsistatyti po patirtų traumų.
  • Masažas: Masažas yra naudingas kraujo apytakos gerinimui, kai kurių sužalojimų gydymui, skausmo mažinimui, raumenų atpalaidavimui, raumenų tonuso gerinimui.
  • Fizioterapija: Tai natūralių ir dirbtinių fizinių veiksnių naudojimas ligoms ir traumoms gydyti.
  • Manualinė terapija: Manualinės terapijos metu terapeutas naudodamas rankas atkuria taisyklingą visos apimties sąnario ar slankstelio biomechaniką, taip pagerindamas paciento judrumą ir mažindamas skausmą.

Kaip sustiprinti kaulus?

Pateikiame kelis aspektus, kurie reikšmingi gydantis po kaulo lūžio, o taip pat ir norint sustiprinti sveikus kaulus:

  • Svarbu saugoti lūžio vietą. Jei lūžusi koja, neminkite visu svoriu tos kojos, naudokite ramentus ar specialią lazdą.
  • Kalcis ir vitaminas D. Kalcis be galo svarbus kaulams ir ne tik jiems - ne mažesnė jo reikšmė ir dantims, širdžiai, kraujo spaudimui. Kalcį organizmui įsisavinti padeda vitaminas D, todėl kalcio ir šio vitamino tandemas - idealus, norintiems turėti sveikus ir tvirtus kaulus.
  • Fizinis aktyvumas. Reguliariai atliekama mankšta, naudinga ne tik sveikiems kaulams, bet ir tvirtiems raumenims.
  • Ortopedinis įtvaras. Gydantis po kaulo lūžio labai svarbu nešioti kokybišką ORTOPEDINĮ ĮTVARĄ.
  • Specialūs pratimai. Gydantis lūžusį kaulą labai svarbu atlikinėti specialius pratimus, kuriuos rekomenduos gydytojas, atsižvelgdamas į traumos pobūdį, gijimo ypatumus.
  • Mityba. Svarbu subalansuoti mitybą taip, kad pakankamai su maistu gautumėte vitaminų, mineralų, baltymų beiskaidulų. Ypač svarbus, kaip jau minėta, kalcis ir vitaminas D, tad rekomenduojama vartoti daugiau sūrio, jogurto, lieso pieno, brokolių, špinatų, migdolų ir kt.

Alkūnkaulio osteotomijos procedūros kaina

Procedūros kainą rasite Affidea kainoraštyje. Pasirinkite jus dominančią kliniką ir paslaugą - alkūnkaulio osteotomija.

Registracija

Norėdami atlikti alkūnkaulio osteotomijos operaciją Affidea klinikoje, registruokitės ortopedo-traumatologo pirminei konsultacijai. Užsiregistruoti galima internetu, telefonu 1811 arba atvykus į bet kurį Affidea padalinį. Konsultacijos metu bus aptariama operacija, paskiriami reikalingi tyrimai ir rezervuojama operacijos data.

Taip pat skaitykite: Alkūnės skausmo prevencija

Taip pat skaitykite: Reabilitacija po lūžio

tags: #alkunes #luzis #reabilitacijos #priemones