Pneumonija slaugos namuose: priežiūra, prevencija ir gydymas

Plaučių uždegimas, arba pneumonija, yra klastinga liga, kuri gali prasidėti nuo įprasto peršalimo ir sukelti rimtą pavojų sveikatai. Plaučių uždegimas, kitaip dar žinomas kaip pneumonija, yra ūmus plaučių infekcinis susirgimas. Jį būtina nedelsiant gydyti: tik taip galima užkirsti kelią rimtoms, gyvybei pavojingoms komplikacijoms. Ši liga pasireiškia, kai bakterijos ar virusai patenka į alveoles. Imuninės sistemos reakcija į infekciją sukelia plaučių oro maišelių (alveolių) uždegimą. Dėl į plaučius patekusių mikroorganizmų alveolėse susikaupia skysčio ir uždegiminių ląstelių. Dėl šio pažeidimo sutrinka dujų apykaita - blogai pasisavinamas deguonis.

Plaučių uždegimas

Kas sukelia plaučių uždegimą?

Plaučių uždegimo priežastis yra virusinė arba bakterinė infekcija. Ši liga dažnai atsiranda, kai komplikuojasi ūmios viršutinių kvėpavimo takų infekcijos, pavyzdžiui, peršalimas ar bronchitas. Plaučių uždegimo priežastys ir rizikos veiksniaiPlaučių uždegimas atsiranda dėl įvairių patogenų, kurie įsiskverbia į kvėpavimo sistemą ir sukelia plaučių audinių uždegimą. Dažniausios plaučių uždegimo priežastys yra bakterijos ir virusai, kurie gali būti perduodami tiesioginio kontakto su infekuotu asmeniu, oro lašeliniu būdu arba netiesiogiai - per užterštus paviršius. Labai dažnai pneumoniją sukelia gripo arba respiratorinis sincitinis virusas (RSV infekcijos sukėlėjas). Tačiau pasitaiko ir atvejų, kai viršutinių kvėpavimo takų infekcija arba gripas komplikuojasi ir pereina į bakterinę infekcija. Rečiau plaučių uždegimą sukelia bakterijos. Plaučių uždegimo kaltininkės yra bakterijos Streptococcus pneumoniae, Haemophilus influenzae ar Staphylococcus aureus. O jeigu uždegimo sukėlėja - Mycoplasma pneumoniae bakterija (visų pirma sukelianti mikoplazminę kvėpavimo takų infekciją), temperatūra gali padidėti tik nežymiai, kosulys - būti sausas, be gleivių, sergant šių bakterijų sukeltu plaučių uždegimu gali skaudėti raumenis, sąnarius bei kaulus. Panaši ar net dar lengvesnė simptomatika būdinga ir bakterijų chlamidijų (Chlamydia pneumoniae) sukeltam plaučių uždegimui. Taigi, šių netipinių bakterijų sukeltą plaučių uždegimą lengva supainioti su paprastu peršalimu (juolab, kad užsikrėtimo šiomis bakterijomis neparodo CRB tyrimas).

Gydytojai pneumonijos tipą nustato pagal susirgimo aplinkybes. Kai plaučių uždegimu susergama už sveikatos priežiūros įstaigos ribų, tai vadinama visuomenėje įgyta pneumonija. Šio tipo plaučių uždegimu susergama būnant ligoninėje, slaugos namuose, sanatorijose. Paprastai tai yra rimtesnė nei visuomenėje įgyta pneumonija, nes ją dažnai sukelia antibiotikams atsparios bakterijos, tokios kaip meticilinui atsparus auksinis stafilokokas (MRSA). Tai reiškia, kad ligoninėje įgyta pneumonija gali sukelti sunkesnę būklę ir būti sunkiau gydoma. Plaučių uždegimo požymiai ir simptomai gali svyruoti nuo lengvų iki sunkių, priklausomai nuo tokių veiksnių kaip infekciją sukeliantys mikroorganizmai, amžius ir bendra sveikatos būklė.

Pneumonijos sukėlėjai

Plaučių uždegimo simptomai

Plaučių uždegimo požymiai ir simptomai gali svyruoti nuo lengvų iki sunkių, priklausomai nuo tokių veiksnių kaip infekciją sukeliantys mikroorganizmai, amžius ir bendra sveikatos būklė. Plaučių uždegimui būdingas gerokai padažnėjęs kvėpavimas, dusulys einantis kartu su stipriu kosuliu, karščiavimas, bendra bloga savijauta, silpnumas. Gydytojas, apžiūrėdamas ligonį, aptinka ir kitus požymius, kurių ligonis nejaučia - išgirsta pašalinius garsus, vadinamus karkesiais (karkalais) plaučiuose, susilpnėjusį kvėpavimą uždegimo apimtoje vietoje, plaučių stuksenimo garso pokyčius.Šie simptomai dažnai būna panašūs į gripo ar peršalimo požymius, tačiau jų stiprumas ir trukmė, taip pat kartu esantis dusulys, yra ženklas, kad situacija gali būti kur kas rimtesnė.

  • Krūtinės skausmas kvėpuojant ar kosint
  • Sumišimas ar psichinio sąmoningumo pokyčiai (65 metų ir vyresniems suaugusiesiems)
  • Kosulys, dėl kurio gali išsivystyti skrepliai
  • Nuovargis
  • Karščiavimas, prakaitavimas ir drebulys
  • Žemesnė nei įprasta kūno temperatūra (suaugusiems vyresniems nei 65 metų ir žmonėms su silpna imunine sistema)
  • Pykinimas, vėmimas ar viduriavimas
  • Dusulys

Naujagimiams ir kūdikiams gali nebūti jokių infekcijos požymių, tačiau jie gali vemti, karščiuoti, kosėti, atrodyti neramūs ar pavargę, be energijos. Kartais jiems sunku kvėpuoti ir valgyti.

Taip pat skaitykite: Kaip slaugyti pneumonija sergantį vaiką

Rizikos veiksniai

Plaučių uždegimu susergama, kai mikrobai patenka į plaučius ir sukelia infekciją. Nors pats plaučių uždegimas nėra užkrečiamas, bakterijos ir virusai, kurie jį sukelia, yra. Grybelio sukeltas plaučių uždegimas nėra užkrečiamas. Kai kurių tipų plaučių uždegimo galima išvengti skiepijant. Lietuvoje vaikai skiepijami PVC vakcina (skiepais nuo pneumokoko) bei vakcina nuo kokliušo. Taip pat rekomenduojama pasiskiepyti nuo gripo ir COVID-19.

Kiti rizikos veiksniai yra šie:

  • Būdamas ligoninėje.
  • Lėtinė liga.
  • Rūkymas.
  • Susilpnėjusi ar slopinama imuninė sistema.

Plaučių uždegimo diagnostika

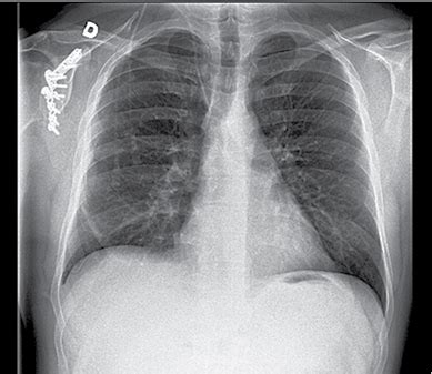
Įgytą plaučių uždegimą galima įtarti, kai atsiranda ūminiai respiraciniai simptomai: stiprus kosulys, skrepliavimas, krūtinės skausmas, dusulys, padidėjęs kvėpavimo dažnis ir karščiavimas. Diagnozę galima patvirtinti krūtinės ląstos rentgenograma - tada matomi visi uždegiminiai pakitimai plaučiuose. Kraujo tyrimas. Sergant plaučių uždegimu nustatomas padidėjęs leukocitų kiekis, aptinkama toksinių granuliocitų, padidėja eritrocitų nusėdimo greitis, taip pat C reaktyvinio baltymo (CRB) koncentracija kraujo serume.

Krūtinės ląstos rentgenograma

Plaučių uždegimo gydymas

Pneumonijos gydymas skirtas infekcijos šalinimui ir komplikacijų prevencijai. Plaučių uždegimo gydymo intensyvumas priklauso nuo paciento būklės. Ją įvertinus skiriami antibiotikai, atsikosėti padedantys vaistai, o kai yra bronchų spazmo (susiaurėjimo) požymių, juos atpalaiduojantys medikamentai. Pirmiausia, svarbu gerti daug šiltų skysčių, vėdinti patalpas bei naudoti namų drėkintuvą, kad palengvėtų kvėpavimas. Antibiotikai - skiriami bakterinės pneumonijos gydymui. Jei nustatyta, kad plaučių uždegimą sukėlė virusas, antibiotikų nereikia. Įprastai bakteriniam plaučių uždegimui gydyti skiriama per burną vartojamų antibiotikų. Gydant ligoninėje, antibiotikai ir skysčiai lašinami tiesiai į veną. Antipiretikai - skiriami, kai žmogus patiria diskomfortą dėl karščiavimo ar skausmo infekcijos metu.

Specialiai parinktos vitaminų ir mikroelementų lašelinės gali padėti greičiau atsigauti po plaučių uždegimo, sustiprinti imuninę sistemą ir sumažinti ligos komplikacijų tikimybę.

Taip pat skaitykite: Išsami apžvalga apie vaikų pneumoniją

Svarbu! Jei vaikas serga bakterijų sukelta pneumonija, duokite tiksliai tiek vaistų, kiek nurodė gydytojas. Prieš duodami vaikui vaistų nuo kosulio, pasitarkite su gydytoju.

Pasak G. Viganauskienės, peršalus palengvinti ligos eigą ir išvengti komplikacijų, padeda tam tikros taisyklės.

  • Poilsis: Tinkamas poilsis yra ypatingai svarbus visiškam atsigavimui.
  • Higiena: laikykitės kosėjimo ir čiaudėjimo higienos, tai daryti į servetėlę, delną ar alkūne.
  • Priešuždegiminė Lašelinė: ne tik mažina uždegimą, bet ir stiprina imunitetą, ramina nervų sistemą bei suteikia energijos.
  • Vitaminų Lašelinės: tai greitas, saugus ir efektyvus būdas aprūpinti organizmą visais reikalingais vitaminais bei mineralais. Kadangi procedūros metu veikliosios medžiagos aplenkia virškinimo sistemą, jos patenka tiesiai į kraujotaką, užtikrindamos 100 % bioprieinamumą ir greitai juntamą terapinį poveikį.Taip pat vitaminų lašelinė gali būti derinama su antioksidantais ir mikroelementais. Antioksidantai padeda pašalinti iš organizmo susikaupusius toksinus, virusų ar bakterijų likučius, veikdami tarsi apsauginis skydas. Mikroelementai, tokie kaip cinkas ir varis, yra itin svarbūs organizmui sveikstant po ligų.
  • Imuniteto stiprinimas papildomais būdais, pvz.

Komplikacijos

Net ir gydant, kai kurie plaučių uždegimu sergantys žmonės, ypač priklausantys padidintos rizikos grupėms, gali patirti komplikacijų, įskaitant:

  • Bakterijos kraujyje (bakteriemija) atsiradimas.
  • Kvėpavimo pasunkėjimas.
  • Skysčio kaupimasis aplink plaučius (pleuros išsiskyrimas).
  • Plaučių abscesas.

Ligos prevencija

Svarbu taip pat nepamiršti prevencijos priemonių, tokių kaip subalansuota mityba, reguliarus fizinis aktyvumas ir skiepai, kurie padeda stiprinti imuninę sistemą bei mažina pneumonijos atsiradimo riziką.

Norėdami išvengti plaučių uždegimo:

Taip pat skaitykite: Skuodo PSPC slaugos specialistai

  • Pasiskiepykite.
  • Pasidomėkite, dėl skiepų galimybės.
  • Laikykitės geros higienos normų.
  • Nerūkykite.
  • Tausokite savo imuninę sistemą.
Pneumonijos prevencija

Atsigavimas po plaučių uždegimo

Atsigavimas po plaučių uždegimo gali būti ilgas procesas. Nors kai kuriems žmonėms sveikata pagerėja per savaitę, kitiems gali prireikti mėnesio ar daugiau, kol jie jausis geriau. Visą mėnesį gali išlikti nuovargis, kosulys, energijos stoka, todėl labai svarbu suteikti kūnui pakankamai laiko atsigauti. Taip pat po gydymo gali būti nesusiformavęs imunitetas , todėl yra lengva susirgti kita liga, kuri gali pailginti sveikimo procesą. Kol sveikstate, pabandykite apriboti savo ryšius su šeima ir draugais, kad jūsų mikrobai neplistų kitiems žmonėms. Kai kosėjate, uždenkite burną ir nosį, nedelsdami išmeskite panaudotas vienkartines nosinaites į uždarą atliekų konteinerį ir dažnai plaukite rankas.

Svarbu prisiminti, kad sveikstant derėtų kiek įmanoma apriboti kontaktą su šeimos nariais ir draugais, jog mikrobai neplistų kitiems žmonėms.

Žinios apie plaučių uždegimo priežastis, simptomus ir gydymo metodus yra ypatingai svarbios kiekvienam, norinčiam apsaugoti save ir savo artimuosius nuo šios dažnai pavojingos ligos.

Svarbu! Nors jaučiate, kad savijauta gerėja, tačiau gydymo, nepasitarus su gydytoju, nutraukti nevalia. Neišgydytas plaučių uždegimas - rizika susirgti lėtine plaučių liga. Pas gydytoją būtina atvykti, jei jis patarė tai padaryti arba jei pagerėjus būklei po kiek laiko vėl atsirado kosulys, dusulys ar silpnumo jutimas.

Kaip gydoma pneumonija?

tags: #pneumonija #slaugos #namuose